[胎儿发育]四维彩超是孕妇了解胎儿活动和发育的唯一途径,因此许多孕妇经常去医院进行四维彩超的检查。那么四维做多了对小孩有影响吗? 无论是四维彩超还是其他一些超声,都不能不计次数的做。
B超看胎儿性别是最科学,也是最准确的方法。通过四维彩超可以知道胎儿性别,我国禁止性别鉴定。尽管大家都知道如今国家有明文规定,任何医疗机构、任何医护人员,都不得以任何方式向孕妇或其家属透露胎儿性别,哪怕就患者自己要求也不行。但还是有不少的孕妈想通过孕期检查中的B超中的数据来分辨胎儿的性别。四维彩超看男女只需看懂这个位置,下面就来给大家详细分析一下。
四维彩超女宝宝特征如下
女宝B超图的特征是“三条白线”,当然最好的角度还是从下方来看。如果没有看到三条白线,那么就瞪大眼睛看双腿之间突出的部分,如果特征为两边鼓中间凹,那就基本是女宝了。如下图所示。

三条白线

三条白线

三条白线
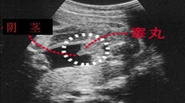
四维彩超男宝宝特征如下
男宝宝如何通过B超分辨出来呢,其实也很简单了,如果角度合适,男宝的B超图上是可以看到小丁丁的。下图拍摄取的角度就是宝宝屁屁正下方,一目了然。

小丁丁

小丁丁

小丁丁
怎么样啊,通过以上四位彩超是不是很轻松看到胎儿性别的标志呢,那些还在为胎儿性别猜来猜去的准妈妈赶紧拿起四维彩超测试一下吧。
[胎儿发育]四维彩超是孕妇了解胎儿活动和发育的唯一途径,因此许多孕妇经常去医院进行四维彩超的检查。那么四维做多了对小孩有影响吗? 无论是四维彩超还是其他一些超声,都不能不计次数的做。
[胎儿发育]通常孕妈妈孕期都会定期去进行各项产检,其中四维彩超检查就是比较重要的检查项目,通过这项检查能够清晰的了解了胎儿的发育结构,以及内脏器官的发育情况。那么,想问下四维彩超宝
[孕妇保健]女性在怀孕6个月的时候,进行四维彩超检查,可以检查胎儿是否有畸形的情况,尤其是体表畸形,比如唇腭裂、短肢畸形等等,而且是否有脑积水也可以检查出来。有些先天性心脏病,也能通
[孕妇保健]怀孕分为早期、中期及晚期。早期的时候孕妇在多会出现早孕的反应,然后随着早孕反映的消失,慢慢就会进入孕中期,孕中期的时候胎儿的胎盘已经形成,因此开始进入比较安全的阶段,在
[孕妇保健]四维彩超不仅能够直接观测到胎儿的四肢及内脏,还能立体的显示出胎儿各个器官的发育情况。让准爸妈可以一目了然的看到胎位的各种动作及神态。 那么,做四维彩超的时候,准妈妈有什么