[幼儿疾病]小儿支气管肺炎是比较的小儿呼吸系统感染疾病,会给小孩肺部健康造成严重危害,导致小孩容易出现呼吸急促、咳嗽痰多等不适症状,所以家长需要及时给患儿治疗调理。那么,想问下小儿
小儿支气管肺炎和肺炎的区别主要在于小儿肺炎更为严重,感染部位范围更大,在病症表现看,小儿轻症的肺炎与小儿支气管肺炎要在医院检查胸片才可以知道,所以家长要小心防范宝宝患有肺炎的可能性,这篇是小儿支气管肺炎和肺炎的区别

小儿肺炎按病理分类分为支气管肺炎.大叶性肺炎.间质性肺炎,以支气管肺炎最为多见,支气管肺炎又称小叶肺炎,是小儿的一种主要常见病,尤多见于婴幼儿,多发生于冬春寒冷季节及气候骤变时,但夏季并不例外。
小儿支气管肺炎的表现
咳嗽:开始为频繁的剌激性干咳,随之咽喉部出现痰鸣音,咳嗽时可伴有呕吐、呛奶。
呼吸表浅增快,鼻扇,部份患儿口周、指甲轻度发绀。除呼吸道症状外,患儿可伴有精神萎靡,烦躁不安,食欲不振,哆嗦,腹泻等全身症状。

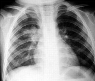
所谓支气管,字面上就可以理解,支气管炎是排行气道膜,或者,支气管的炎症,炎症影响到气管周围组织,在胸片上可以显示肺纹理增强模糊,这就叫支气管肺炎,影响范围是肺泡
而小儿肺炎,如果炎症影响到肺组织,胸片或胸透看见有大片的或斑片状阴影,就叫肺炎。这些得需要通过观察胸片才可以察觉

肺炎,是指肺脏发炎,一般症状比支气管肺炎为重,患儿常常表现精神萎靡、食欲不振,或烦躁不安,呼吸增快而表浅;重症且炎患儿则有呼吸困难、鼻翼扇动(呼吸时两鼻孔外侧肌肉扇动)、三凹症(指胸骨上窝、肋间以及肋骨弓下部随吸气向下凹陷)、口唇与指(趾)甲盖发青等症状。
小孩肺炎初期,患儿多表现为精神萎靡,烦躁不安,食欲不振,哆嗦,腹泻等症状。重症肺炎可合并心力衰竭、脑病、肠麻痹,治疗不当,还会引发死亡
而支气管肺炎患儿最为明显的就是咳嗽,但一般精神较好,无呼吸困难,口唇不发青;至于是否发烧,不能作为区分两者的依据。新生儿、早产儿或体弱儿患肺炎,往往并不发烧,仅表现拒乳或吃乳后呛咳、口吐白沫、呼吸困难、面色阵阵发青等。而肺炎往往会出现发烧的现象。

一般支气管肺炎主要病变散布在支气管壁附近的肺泡,支气管壁仅粘膜发炎。肺泡毛细血管扩张充血,肺泡内水肿及炎性渗出,浆液性纤维素性渗出液内含大量中性粒细胞、红细胞及病菌。病变通过肺泡间通道和细支气管向周围邻近肺组织蔓延,呈小点片状的灶性炎症,
而小儿肺炎是由病原体感染或吸入羊水及油类和过敏反应等所引起的肺部炎症,通过X线胸片可直接反映患儿肺部病变情况,是诊断肺炎的重要依据,并且可通过X线所示,区别是何种类型肺炎。如支气管肺炎,多表现为非特异性小斑片状肺实质浸润阴影;大叶肺炎为大片阴影均匀而致密,占全肺叶或一个节段。

支气管肺炎是小儿最常见的肺炎。如果处理不好,可能会危及生命。那么,该如何预防支气管肺炎呢?
1、戒烟:为了减少吸烟对呼吸道的刺激,患者一定要戒烟。其他刺激性的气体,如厨房的油烟,也要避免接触。
2、促使排痰:对年老体弱无力咳痰的患者或痰量较多的患者,应以祛痰为主,不宜选用镇咳药,以免抑制中枢神经加重呼吸道炎症,导致病情恶化。帮助危重患者定时变换体位,轻轻按摩患者胸背,可以促使痰液排出。
3、保持良好的家庭环境卫生:室内空气流通新鲜,有一定湿度,控制和消除各种有害气体和烟尘。改善环境卫生,做好防尘、防大气污染工作,加强个人保护,避免烟雾、粉尘、刺激性气体对呼吸道的影响。
4、适当体育锻炼:增强体质,提高呼吸道的抵抗力,防止上呼吸道感染,避免吸入有害物质及过敏原,可预防或减少本病发生。锻炼应循序渐进,逐渐增加活动量。
5、注意气候变化和寒冷季节:严冬季节或气候突然变冷的时候,要注意衣着冷暖,及时增加衣服,不要由于受凉而引起感冒。冬季寒冷季节室内的温度应在18~20℃为宜。
[幼儿疾病]小儿支气管肺炎是比较的小儿呼吸系统感染疾病,会给小孩肺部健康造成严重危害,导致小孩容易出现呼吸急促、咳嗽痰多等不适症状,所以家长需要及时给患儿治疗调理。那么,想问下小儿
[幼儿疾病]肺炎是小孩特别常见的一种疾病类型,在发生肺炎后,家长必须马上带孩子去医院接受检查,确诊后一般需要住院治疗,而且肺炎的治疗需要一定的疗程和周期,那么小儿肺炎的治疗周期多长
[学龄前疾病]相信很多人都患过呼吸系统疾病,比如支气管炎、肺炎等,发病率就比较高。如果儿童患了支气管肺炎的话,需要及时的进行治疗,而家长们对于疾病的治疗时间都是比较关心的。那么,小孩
[幼儿疾病]支气管炎是小儿常见的一种疾病,多发病于冬春寒冷季节和气温骤变的时期里。主要表现症状为发热、气喘、咳嗽、气促等,如果治疗调理不及时,就容易诱发出心肌损伤。那么,小孩支气管
[幼儿疾病]支气管肺炎是一种小儿常患的疾病,也被称为肺泡性肺炎,多发病于春冬季节。主要症状表现为发热、气喘、咳嗽等,如果治疗不及时,就可能引起患儿呼吸衰竭,进而导致死亡。那么,小孩
[幼儿疾病]咳咳咳,听着宝宝咳嗽难受,爸妈很心疼。如何护理宝宝,让宝宝尽快远离咳嗽,其实在饮食上也有很多细节需要注意。今天,小编就来给大家普及一下,宝宝咳嗽时,哪些食物最好不要碰。
[幼儿疾病]由于今年情况特殊,很多小朋友上半年都没有好好上学,虽然在家网课搞得鸡飞狗跳,家长天天盼开学,但不上学有一点好处:小朋友生病少了!尤其是手足口病这类传染病。 不过,千万不能
[幼儿疾病]疱疹性咽峡炎推拿手法有哪些?疱疹性咽峡炎是一种由肠道病毒引起的发热性疾病,是具有传染性的,多发于1-7岁宝宝,中医推拿是其治疗方法的一种。如果您想知道疱疹性咽峡炎按摩哪里,
[幼儿疾病]夏天小孩发烧怎么办_小孩发烧吃什么食物?夏天天气炎热,也正是各种细菌病菌活跃时期,加上小孩子免疫力低,再加之夏季空调使用不当,等等日常生活容易忽略的相关都有可能引发夏季宝