[学龄前健康]儿童牙痛是生活中常见症状,会严重影响日常饮食等事项,需尽快治疗。小孩牙齿痛时可以吃虾,但不能多吃,也不能吃太辣的虾,可少量进食清淡口味的虾。因为孩子牙痛时,一般不建议吃
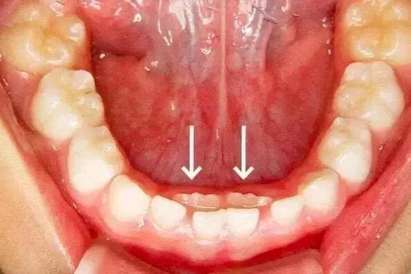
现如今,出现「双排牙」的宝宝是越来越多了。
前段时间还有家长给小编留言说,自家的宝宝乳牙没掉不说,牙里面又长了两颗牙,不知该如何是好……
究竟这双排牙是怎么形成的呢?今天小编就给各位宝妈奶爸们好好科普一下!

一般来说,宝宝出生后牙龈里就藏着蓄势待发的牙胚,等到宝宝6岁左右时就会慢慢向上生长,直到把乳牙顶掉,然后取而代之。
但若乳牙稳如泰山,那么恒牙顶不动,就会另辟新径从恒牙的前后方萌出,最终形成所谓的「双排牙」。
在医学上,双排牙也被称之为“乳牙滞留”。

那为啥乳牙迟迟不愿意“下岗”呢?
除了恒牙胚错位、先天性缺少恒牙牙胚、继承恒牙萌出无力、口腔疾病以及佝偻病外,双排牙出现的普遍原因其实是:家长溺爱犯了错!一般来说:

可很多家长担心宝宝咬不动、怕食物噎着宝宝,迟迟不肯让宝宝吃半固体和固体食物。
经常将食物剁的细碎来喂宝宝,或让宝宝一直吃软烂的食物,导致宝宝缺乏应有的咀嚼锻炼。
要知道咀嚼运动可以促进牙、颔、面的正常发育,促进局部血液循环及淋巴回流,增强代谢。
而且宝宝通过反复咀嚼食物,不仅可以刺激味觉,还有助于宝宝更好地发音。
若咀嚼不充分这些功能就会减弱,严重时还会影响宝宝今后的牙齿排列和脸型。
「双排牙」就是因为大部分宝宝吃的食物过于精细,牙齿得不到应有的锻炼,进而造成恒牙萌出时,乳牙却迟迟不肯脱落的现象。
所以,大部分宝宝出现双排牙,都是家长喂养出了问题。

别看双排牙暂时没啥影响,宝宝该吃吃、该喝喝的。可若任由它长,那危害可就大了去了!
短期的影响 就是:食物残渣容易嵌塞在两排牙的缝隙中,增加清洁难度,易造成宝宝口臭和龋齿等问题。
长期的影响 则是 :乳牙成了“钉子户”,影响后来居上的恒牙,两者相互“抢占地盘”的结果就是——牙齿排列不齐!
进而影响宝宝正常的牙齿咬合,抑制颌骨发育,影响宝宝的嘴型和面部的外观,严重降低宝宝的颜值。
若乳牙残根滞留,还容易出现口腔黏膜损伤,引发细菌感染的情况。

如果宝宝出现了双排牙,那么越早拔除乳牙越好,这样恒牙才有较大的机会回到正确的位置。
如果拔除滞留牙后,恒牙没有回到它该去的位置,则需要等所有牙齿萌出后做牙齿矫正来排齐牙齿。
如果宝宝到了换牙的年龄,乳牙却迟迟未脱落,恒牙也没有萌出,则需要拍牙片,查看牙龈里是否有恒牙,若无恒牙则需要保留乳牙。

1、合理添加辅食
在宝宝8个月时,就可以循序渐进让宝宝吃点质地稍硬、耐嚼的食物。比如:苹果、胡萝卜、玉米、西蓝花、芹菜等。
这样通过食物去刺激宝宝的牙床,不仅可以锻炼宝宝咀嚼能力,加快乳牙生长,还可以在宝宝换牙期促使乳牙按时脱落,恒牙萌出。
2、定期看牙医
建议每3~6个月,带宝宝去牙科做一次常规检查。便于及时发现问题,早期纠正。
3、培养良好的饮食习惯
尽量控制宝宝少喝夜奶、少吃甜食,即便要吃喝也要养成早晚刷牙、饭后漱口的良好习惯。
还要教育宝宝改正咬嘴、咬物、吮指、舔牙等不良习惯,避免诱发牙间隙增宽、牙齿倾斜、局部开颌、牙前突等问题。
小编说:
小编再提醒各位宝妈奶爸们一件事,那就是:当孩子萌出第一颗乳牙时,就应该刷牙了。
特别是奶粉喂养的宝宝,更应积极接受刷牙,因为配方奶粉中含蔗糖,蔗糖易腐蚀牙齿。而母乳中含的是乳糖和低聚糖,宝宝患龋齿的几率相对小一点,但也不能掉以轻心。
家长还要注意,出牙后就不要让宝宝吃着奶睡觉了,睡觉前应漱口或刷牙,以防止宝宝乳牙被腐蚀。
[学龄前健康]儿童牙痛是生活中常见症状,会严重影响日常饮食等事项,需尽快治疗。小孩牙齿痛时可以吃虾,但不能多吃,也不能吃太辣的虾,可少量进食清淡口味的虾。因为孩子牙痛时,一般不建议吃
[手抄报]牙齿是人体中一个重要的消化器官,有咀嚼食物的作用,通常是食物消化的第一步,所以保护牙齿有着很重要的作用。下面小编整理《爱护牙齿手抄报》为主题的手抄报供大家参考学习。 爱护
[学龄前健康]有些父母可能会发现自家小孩的牙齿长得很不整齐,整体看起来有点影响美观,那么对于这种情况,加上牙齿也是颜值的一部分,所以很多父母特别的心急,现在就来看看小孩牙齿长得不整齐
[学龄前健康]儿童在成长的过程中,牙齿需要经常进行清洁,儿童牙膏有含氟的,也有不含氟的,对于年龄小的儿童来讲,在具体选择牙膏的时候,这里面的学问非常的多。那么,现在就来看看,儿童为什
[学龄前健康]在日常生活中牙齿是我们最为重要的生理器官,很多孩童因饮食习惯不当造成对牙齿的损坏,出现牙齿发黑的现象是很常见的,平时不注意口腔卫生,不爱刷牙会牙齿发黑严重。那么,我们来
[学龄前健康]我们常常会碰到这样的孩子:在幼儿园难静坐,随便走动,不服管教,难守规则,难集中注意力;上了学注意力集中时间短暂,上课不专心听讲,学习困难,不能完成作业,激动任性,情绪不
[学龄前健康]怎样保护宝宝的牙齿,孩子每一步的健康成长都是父母最关注的,孩子身体的任何异常都会让父母着急。小孩子的牙齿也是很容易出现问题的,特别是一些爱吃甜食的宝宝,那么怎么来保护好
[学龄前健康]儿童健康小常识大全:孩子的成长是每个家长最操心的事情,衣食住行就算了,还有健康和教育,一样都马虎不得。今天就看一下儿童健康小常识大全,大家一起学习儿童日常保健须知有哪些
[学龄前健康]如果孩子在换牙期间,出现一些牙齿发育不良的现象,说明孩子缺钙,家长可以带孩子到医院,做微量元素检查,遵循缺多少补多少原则,在医生指导下,给孩子补充钙片。千万不要盲目地自
[学龄前健康]日常生活中,家长们可以通过孩子脚底的颜色来看孩子身体的健康状况。有的孩子脚底会发黄,应当引起重视。下面请看,儿童脚底发黄是什么原因? 1、贫血 这种症状很有可能是贫血引起的