[幼儿健康]龋齿可以算是最为常见的牙齿疾病了,在儿童人群中有着比较高的发病率,这会引起疼痛等症状。家长们需要注意孩子的牙齿健康,在平时应该采取一些措施,来避免孩子患上龋齿。那么,孩
乳牙不好,会影响孩子一生!小朋友蛀牙还需要治疗吗?乳牙反正会换掉,等新牙长出来就好了吧。相信很多家长都有这样的疑问或想法。今天,我们要告诉大家这是一个巨大的误区!乳牙不好,会影响孩子一生!
龋病俗称“虫牙”、“蛀牙”,发生在儿童乳牙时期的龋病称乳牙龋病,是一种细菌性疾病,具有发病早、患龋率高、龋蚀发展速度快等特点。
第四次全国口腔流行病学调查结果显示,12岁儿童恒牙龋患率为34.5%,比十年前上升了7.8个百分点。5岁儿童乳牙龋患率为70.9%,比十年前上升了5.8个百分点,但是治疗的比例只有4.1%!
世界卫生组织已将龋病与肿瘤和心血管疾病并列为人类三大重点防治疾病。

01
为什么宝宝特别容易蛀牙?
蛀牙,不是一天蛀成的。
龋病的发展其实是一个缓慢的过程,不管是初期菌斑的形成,还是后期龋洞的形成,都需要一定的时间。
人类口腔内细菌种类众多,吃了含糖类食物后(尤其是蔗糖),细菌就会利用糖代谢产生的有机酸,从牙齿表面的薄弱处开始入侵,逐渐造成釉质脱矿,最终导致蛀牙。
小宝宝的乳牙相比恒牙,更容易蛀牙。
为什么呢?这与乳牙本身的形态组织结构、儿童饮食习惯、生活习惯等因素有关。

1、乳牙的形状
乳磨牙的牙冠比继承恒牙的牙冠宽。而且乳牙的窝沟类型较为复杂,导致它更容易造成食物残留和菌斑集聚,不容易清洁干净。

乳牙窝沟类型
2、乳牙的组织结构特点
● 乳牙釉质与本质比恒牙有机质含量较高,化学反应性较活跃;
● 乳牙釉质厚度较薄,釉质抗酸性较差;
● 乳牙牙本质硬度较低;
● 乳牙牙本质厚度大约只有恒牙牙本质的一半。
3、喂养时间长
婴幼儿阶段,人工喂养和母乳喂养都容易出现进食时间长且进食间隔时间短的特点。
4、食物类型
儿童的日常食物大多属于质地软、黏稠,而且喜欢吃甜甜的食物。这类食物容易发酵产酸,对牙釉质不利。
5、口腔自洁作用差
儿童睡眠时间相对较长,睡眠过程中唾液分泌减少,自洁作用差,易于细菌繁殖。
6、家长不够重视
家长未能及时帮助或引导儿童刷牙,食物残渣、菌斑软垢积存在牙面上,容易蛀牙。

02
龋病分类
浅龋
病变只存在于牙齿表层一般情况没有龋洞和主观症状。釉质上会有白垩色的点或斑,后面会逐渐变成黄褐色或褐色斑点。
中龋
龋蚀已达到牙本质浅层,形成浅层龋洞孩子会开始对冷热酸甜的食物出现敏感症状。
深龋
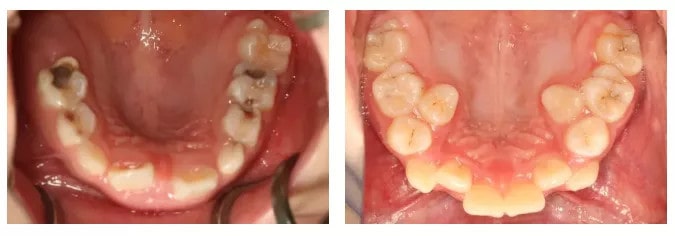
龋蚀已达到牙本质深层接近牙髓,或已影响牙髓对冷、热、酸、甜都有明显痛感,对热尤其敏感。这时候大多要进行牙髓治疗以保存牙齿。
浅龋中龋深龋儿童大概在两岁半的时候长齐乳牙,12岁左右乳牙基本会全部换为恒牙。乳牙的使用时间可不短呢。
很多家长不重视孩子乳牙的保护,是因为不了解乳牙蛀牙的危害有多大。
03
乳牙蛀牙有什么危害?
1、疼痛,影响生长发育
乳牙龋坏最直接的影响就是疼痛,牙痛有多痛,经历过的大人都懂,更别说小孩子了。牙齿痛进而会影响到孩子的咀嚼、消化和吸收功能,从而影响患儿的生长发育,最终引发其他全身的健康问题。
2、影响恒牙的发育和萌出
乳牙蛀牙若不及时治疗会逐渐影响牙根,而牙根的下面就是恒牙胚,也就是后面会长出来代替乳牙的继替恒牙。
如果恒牙胚的发育受到影响,可能会造成恒牙的形态、颜色和位置异常等问题。
3、恒牙长不整齐,咬合不好
乳牙与恒牙的交替是一个动态平衡过程,所有的乳牙都会在一定的时期按照一定的顺序进行替换,如果乳牙因龋坏提前脱落,可能会导致替代的恒牙在错误的位置萌出,对整个牙齿的咬合和排列造成不好的影响。

4、影响心理健康
乳牙龋坏,牙齿不美观,孩子可能不愿意咧嘴大方地笑了。可能会给儿童带来不必要的心理负担和压力,不利于儿童身心的健康发展。
04
怎么预防孩子蛀牙?
1、培养孩子的刷牙习惯,从小就要给孩子灌输保护牙齿的思想。孩子年纪较小的时候,家长要帮孩子刷牙。待年纪稍长,给孩子挑选合适的牙刷,并教孩子用正确的方式进行刷牙。
2、丰富日常食谱,避免吃过多甜食,这样既能保证孩子营养均衡、养成不挑食的好习惯,也有助于孩子的口腔健康。
3、哺乳期的婴儿,家长应避免婴儿含着带有牛奶、果汁等甜类物质的奶嘴睡觉。睡前喂奶的婴儿,可以在宝宝喝完奶后再喂适量白开水,起到简单的冲洗作用。
4、及时带孩子做窝沟封闭。乳牙窝沟封闭是用一种有机高分子树脂,涂抹在乳牙表面,树脂流入窝沟后固化变硬,如同给乳牙穿上了一层“盔甲”,能够使乳牙免受食物侵蚀,预防窝沟龋。窝沟封闭是一种无毒、无痛、无创伤的乳牙龋病预防方法。
5、做好口腔健康状况的定期检查。带孩子到医院找专业的口腔医生做定期口腔检查,做到及时发现、及时治疗。不要等孩子痛得不行了才想到看医生哦。