[幼儿疾病]小儿支气管肺炎是比较的小儿呼吸系统感染疾病,会给小孩肺部健康造成严重危害,导致小孩容易出现呼吸急促、咳嗽痰多等不适症状,所以家长需要及时给患儿治疗调理。那么,想问下小儿
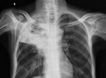
新生儿吸入性肺炎的原因是什么?新生儿患上乳汁吸入性肺炎都是有原因的,初当父母的家长朋友尤其要了解一下,究竟婴儿乳汁吸入性肺炎是什么原因呢?想知道就快看看下面由小编准备的文章吧!

早产儿吞咽反射不成熟,吞咽动作不协调,易发生乳汁吸入。脑部损伤或颅神经病变也可使吞咽反射迟钝或不全,乳汁在咽部排空时间延长。有时咽部神经肌肉不协调,吞咽时乳汁部分进入食管,部分由鼻腔流出,部分吸入呼吸道,而引起肺炎。

食管闭锁时乳汁不能从食管进入胃内。停留在咽部和唾液一起被吸入肺部。仅有食管气管瘘时乳汁可直接通过瘘管进入肺部。但有时瘘管很小,不易发现。

乳汁进入食管后反流至咽部,然后吸入。例如食管贲门松弛的婴儿呕吐后易发生吸入,有时因食管神经肌肉不协调也可引起反流。

腭裂一般不影响吞咽,但严重缺损者吮乳发生困难,可引起吸入。

当乳汁吸入肺泡后,肺组织出现炎症反应,数小时后有中性粒细胞、吞噬细胞和红细胞渗出,肺泡壁增厚,间质炎症明显,数周后出现纤维化,如反复吸入,可呈慢性间质性肺炎。
[幼儿疾病]小儿支气管肺炎是比较的小儿呼吸系统感染疾病,会给小孩肺部健康造成严重危害,导致小孩容易出现呼吸急促、咳嗽痰多等不适症状,所以家长需要及时给患儿治疗调理。那么,想问下小儿
[幼儿疾病]肺炎是小孩特别常见的一种疾病类型,在发生肺炎后,家长必须马上带孩子去医院接受检查,确诊后一般需要住院治疗,而且肺炎的治疗需要一定的疗程和周期,那么小儿肺炎的治疗周期多长
[学龄前疾病]相信很多人都患过呼吸系统疾病,比如支气管炎、肺炎等,发病率就比较高。如果儿童患了支气管肺炎的话,需要及时的进行治疗,而家长们对于疾病的治疗时间都是比较关心的。那么,小孩
[幼儿疾病]支气管炎是小儿常见的一种疾病,多发病于冬春寒冷季节和气温骤变的时期里。主要表现症状为发热、气喘、咳嗽、气促等,如果治疗调理不及时,就容易诱发出心肌损伤。那么,小孩支气管
[幼儿疾病]支气管肺炎是一种小儿常患的疾病,也被称为肺泡性肺炎,多发病于春冬季节。主要症状表现为发热、气喘、咳嗽等,如果治疗不及时,就可能引起患儿呼吸衰竭,进而导致死亡。那么,小孩
[新生儿疾病]宝宝的肌肤柔软脆弱,常常会在脸上、身上长一些小小的红疹子,若不是很严重,可以再观察。不过一般而言,宝宝身上出现红疹需要及时治疗。大致有以下几种可能性会造成宝宝身上有红疹
[新生儿疾病]新生儿湿疹可以用炉甘石洗剂吗?炉甘石洗剂是一种淡红色的混悬液,常用于急性瘙痒性皮肤病,如湿疹和痱子。所以说,新生儿湿疹可以用炉甘石洗剂。 1、新生儿湿疹可以用炉甘石洗剂吗
[新生儿疾病]新生儿肚脐发炎_新生儿脐炎妈妈可以吃什么?新生儿患上了脐炎,由于宝宝尚在母乳喂养阶段,所以妈妈必须注意饮食。如果您想知道新生儿脐炎妈妈能吃什么,就赶紧看看下面由小编准备的
[新生儿疾病]新生儿脐炎妈妈不能吃什么?新生儿患上脐炎,有些饮食禁忌还需妈妈要多注意,以免宝宝喝了妈妈的奶而产生不适感,可是究竟新生儿脐炎妈妈忌吃什么呢?想知道就快看看下面由小编准备
[新生儿疾病]唐氏儿:唐氏综合症是一种染色体缺陷病,又称为先天愚型,是第一个混合有精神发育迟滞的综合症之一。又称为21三体综合征,是我国发生率最高的出生缺陷之一。今天我们主要来了解下唐氏